浜松市中央区の歯医者

〒435-0056 静岡県浜松市中央区小池町2668-1
遠州鉄道自動車学校前駅より徒歩9分

診療時間
9:00~12:30 × ×
14:00~18:30 × × ×

休診日:木曜・日曜・祝日

ご予約・お問合せはこちら

053-463-2202

当院の歯ぎしり治療
(ナイトガード)

歯ぎしりの治療
(ナイトガード)とは?

ナイトガードとは、睡眠中の歯ぎしり・食いしばりによる歯やあごへの負担を軽減するための、マウスピース型の装置です。上あごに装着し、咬合力(噛み合う力)を分散させることで、歯やあごへのダメージを防ぎます。

歯ぎしりや食いしばりは、歯の摩耗や破折、知覚過敏、歯周病、顎関節症(がくかんせつしょう)などのリスクを高めます。こうした癖は睡眠中に無意識に行われるため、自力で止めることは難しいものです。

そのため、歯科医院で作製する装置を用いた歯やあごの保護が重要です。ナイトガードは保険で作製できますので、お気軽にご相談ください。

歯ぎしりの治療
(ナイトガード)は
こんな方におすすめ

  • 歯ぎしりを家族に指摘されている方
  • 頬の内側や舌の縁に歯型がついている方
  • 寝ている間に頬や舌を噛んでしまっている方
  • 口が開けにくい、開け閉めで音がする方
  • あごに違和感や痛みがある方
  • 起きたときに歯が浮いたような感じがする方
  • 歯の噛む面がすり減ってきた方
  • 詰め物がよく外れたり壊れたりする方

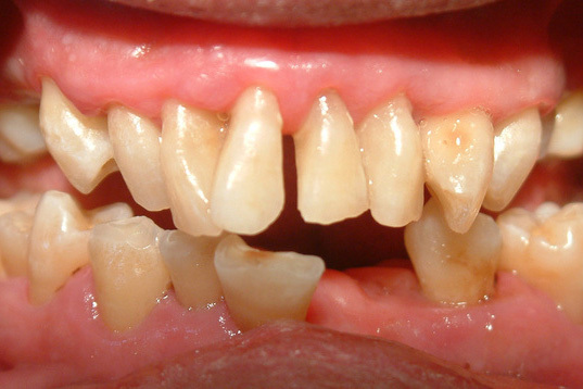
これらの症状は、歯ぎしりや食いしばりが原因かもしれません。放置すると歯やあごに深刻なダメージを与える可能性があるため、早めの対処をおすすめします。

歯ぎしりの原因

浜松市中央区・自動車学校前駅の歯ぎしり治療(ナイトガード)

歯ぎしりの原因としては、ストレス、睡眠障害、生活習慣、噛み合わせの悪さ、一部の薬の副作用などが挙げられます。中でもストレスは、歯ぎしりと密接な関係があるとされています。

歯ぎしりを改善するためには、ストレスを和らげたり、生活習慣を見直したり、睡眠環境を整えたりすることが効果的です。しかし、これらはすぐに変えられるものではなく、改善までに時間がかかる場合があります。

また、歯ぎしりは睡眠中に無意識に起こるため、意識して防げるわけでもありません。原因や影響を知った上で歯ぎしりを軽減できるよう取り組むことが大切です。すぐには原因を取り除けなくても、ナイトガードなどで歯を守る対策があることを知っていただければと思います。

歯ぎしり・食いしばりの影響

浜松市中央区・自動車学校前駅の歯ぎしり治療(ナイトガード)

一般的に、食事の際の噛む力は約20kgと言われています(※)。また、日常生活で上下の歯が接触している時間は、食事や会話を含めたわずかな時間に限られます。

しかし歯ぎしりや食いしばりがあると、眠っている数時間の間に、食事で噛む力の数倍から数十倍の強い力が歯にかかり続けます。この強い力が歯やあごに大きな負担を与え、下記のようなさまざまな問題を引き起こすのです。

※日本歯科医師会2010年6月15日発行「歯の学校」より

歯周病が悪化する
浜松市中央区・自動車学校前駅の歯ぎしり治療(ナイトガード)

歯ぎしりによって歯が揺れると、あごの骨が減って歯周病が進行しやすくなります。

浜松市中央区・自動車学校前駅の歯ぎしり治療(ナイトガード)
歯が削れる

強い横揺れで被せ物が外れたり、セラミックの場合は割れる場合もあります。

顎関節症の原因になる
浜松市中央区・自動車学校前駅の歯ぎしり治療(ナイトガード)

顎関節や咬筋(こうきん:あごを動かす筋肉)に負担がかかります。その結果、口の開け閉めで痛みが出たり、あごがガタついたり、動かした際に「カクカク」や「ポキッ」といったクリック音が生じたりすることがあります。

歯が折れる・欠ける
浜松市中央区・自動車学校前駅の歯ぎしり治療(ナイトガード)

歯冠(歯の頭の部分)や歯根(歯の根っこ)の破折が起こります。

歯根破折(しこんはせつ:歯の根っこの部分にヒビが入ったり、割れたりする状態)の場合は、多くのケースで抜歯が必要になります。

浜松市中央区・自動車学校前駅の歯ぎしり治療(ナイトガード)
被せ物が割れる・外れる

歯の表面のエナメル質が削れて冷たいものに敏感になり、知覚過敏や虫歯のリスクが高まります。

骨隆起が生じる
浜松市中央区・自動車学校前駅の歯ぎしり治療(ナイトガード)

強い噛みしめや歯ぎしりなどによって過剰な力がかかることで骨が発達し、口蓋(こうがい:口の中の上側の部分)や下あごの舌側で骨が盛り上がります。これを骨隆起(こつりゅうき)と呼び、入れ歯を作る際に削るケースもあります。

こうしたトラブルを防ぐためにも、早めの対策が重要です。

歯ぎしり対策の
ナイトガードは保険適用

浜松市中央区・自動車学校前駅の歯ぎしり治療(ナイトガード)

当院では、歯ぎしり対策のナイトガードを保険適用で作製できます。3割負担の場合、費用は5,000円程度です。

ナイトガードは型どりをしてから、1週間から2週間程度でお渡しできます。しっかりと効果を発揮できるよう、硬めの素材で作製しています。

毎日のお手入れは、起床後に、歯磨き粉を付けずに歯ブラシで洗うだけです。専用の洗浄剤を使うと、臭いや変色を防げるだけでなく、ナイトガードをより清潔に保てます。

ナイトガードの使用は、お口の中の保護だけでなく、歯のすり減り防止や顎関節への負担軽減につながります。歯ぎしりや食いしばりによるダメージから、大切な歯やあごを守っていきましょう。

ナイトガードは
定期的に確認

浜松市中央区・自動車学校前駅の歯ぎしり治療(ナイトガード)

ナイトガードをお渡しした後は、1週間後に再度ご来院いただき、チェックや調整を行います。

また当院では、その後も定期検診の度にナイトガードをお持ちいただくようご案内しています。ナイトガードは毎日使うものですから、使っているうちに劣化や亀裂などが起こることがあります。しかし、ご自身だとなかなか気付きにくいものです。定期的にナイトガードの状態をプロが確認することで、安心して快適にお使いいただけます。

必要に応じて適したタイミングで作り直しをご案内できますので、どうぞお気軽にお持ちください。

歯ぎしりの治療
(ナイトガード)の
よくあるご質問

ナイトガードは保険適用ですか?

健康保険が適用されます。3割負担の方の場合、約4,000~5,000円で作製できます。

ナイトガードのお手入れは
どのように行いますか?

外した後は水道水で洗ってください。柔らかめの歯ブラシを使って洗っても良いですが、歯磨き粉をつけるのはNGです。

変形につながるので、熱湯消毒も避けてください。マウスピース用の洗浄剤を使用して浸け置きすれば、臭いや汚れを軽減できます。

ナイトガードを作り直す目安は?

ナイトガードが黄色く変色してきたり、穴が開いたりしたらお作り直しの時期です。

定期検診の際にお持ちいただければ、適した時期をお伝えできます。

歯ぎしりや食いしばりの治療ができる歯科医院をお探しなら、浜松市中央区・自動車学校前駅近くのニワ歯科医院へご相談ください。「ナイトガード(マウスピース)」を保険適用で作製します。

浜松市中央区・自動車学校前駅の歯ぎしり治療(ナイトガード)

医療法人社団誠和会 ニワ歯科医院 院長 丹羽 裕美智

資格
  • 歯科医師
  • 浜松東高校 校医
  • 日本糖尿病協会登録医
  • 全国共通がん医科歯科連携医

検診・歯石取り・歯のクリーニング・フッ素塗布などもご予約いただけます。3ヶ月先のご予約もお気軽にどうぞ。

053-463-2202

令和6年1月より当院では、休憩時間の電話対応を【留守番電話対応】とさせていただきます。
恐れ入りますが、お問い合わせ・ご予約については、診療時間内にご連絡ください。
尚キャンセルのご連絡は、留守番電話にメッセージを入れいていただいても構いません。
 

診療時間

 
午前 × ×
午後 × × ×

午前:9:00~12:30
午後:14:00~18:30

休診日:木曜・日曜・祝日