浜松市中央区の歯医者

〒435-0056 静岡県浜松市中央区小池町2668-1
遠州鉄道自動車学校前駅より徒歩9分

診療時間
9:00~12:30 × ×
14:00~18:30 × × ×

休診日:木曜・日曜・祝日

ご予約・お問合せはこちら

053-463-2202

インビザラインの症例

浜松市中央区・自動車学校前駅近くの「ニワ歯科医院」がインビザラインの症例をご紹介します。

インビザラインの症例

Before

浜松市中央区・自動車学校前駅のインビザラインの症例
浜松市中央区・自動車学校前駅のインビザラインの症例

After

浜松市中央区・自動車学校前駅のインビザラインの症例
浜松市中央区・自動車学校前駅のインビザラインの症例

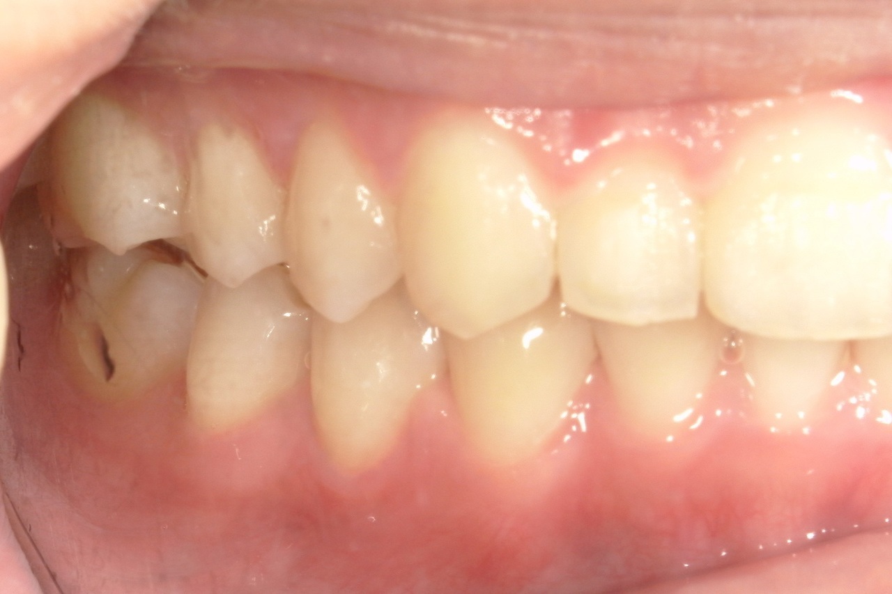
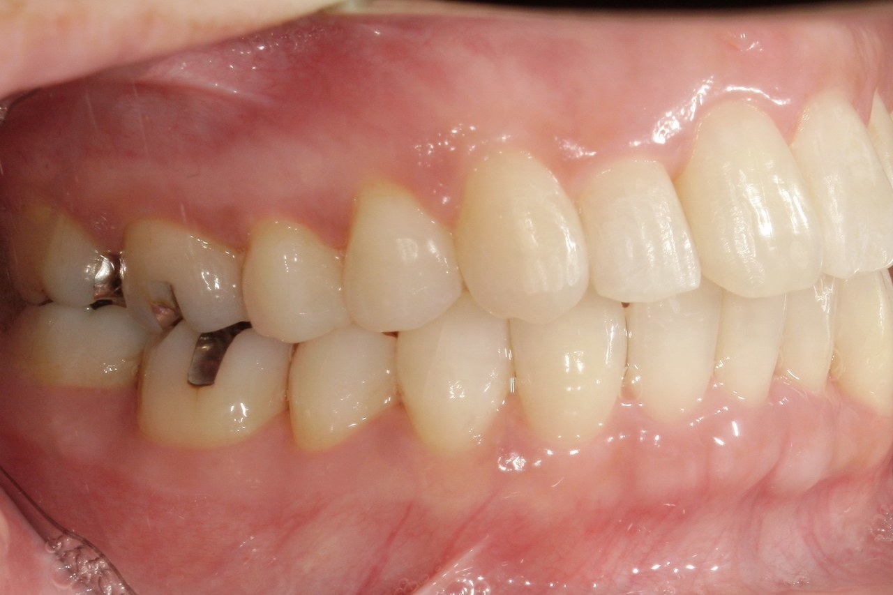
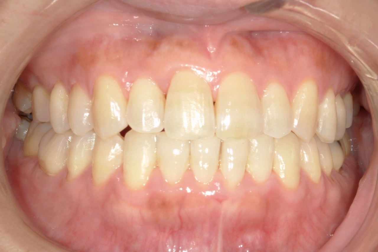
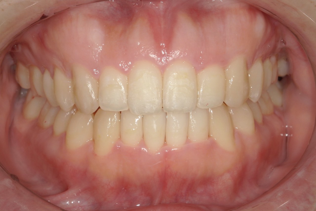
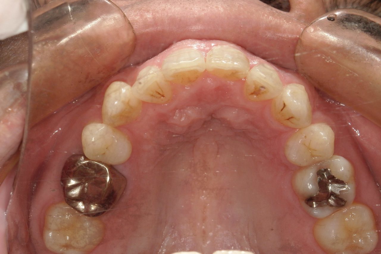
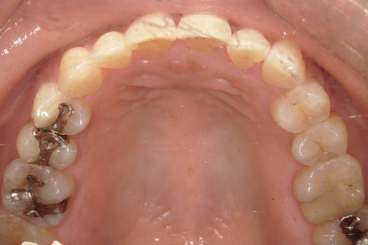
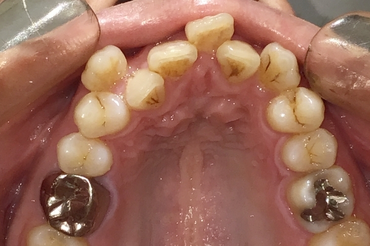
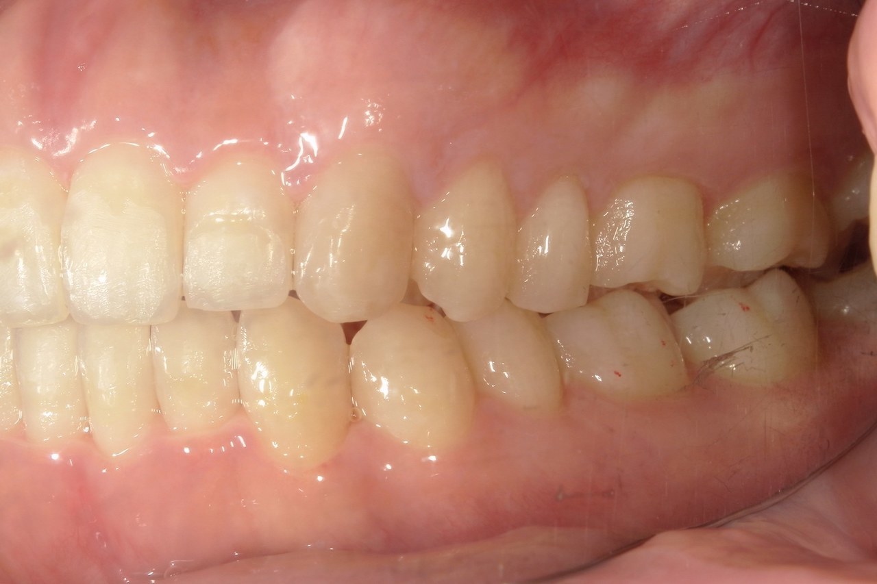
N.T 20代女性

上の前歯が出ているのが気になる、左下の第二小臼歯が内側に入っているのが気になるとの主訴でご来院。
上の前歯を下げて左下の第二小臼歯を外に移動させることで気になっていた上顎前突を改善しました。

治療の期間:R4. 4/22〜R6. 11/2
治療の価格:66万円
治療のリスクや副作用:歯磨き等のセルフケアを怠ると虫歯や歯周病のリスクが高くなります。装着時間を守らないと計画通りに歯が動かない、治療期間が延びる場合があります。矯正治療が完了した後は後戻りを防ぐために保定装置を装着します。保定装置を正しく使用しないと再度矯正治療が必要になる可能性があります。歯とあごのバランスによってはご自身の歯を削る場合があります(削る量は個人差があります)。まれに歯の根が短くなる可能性があります。装置装着後、痛みを感じることがあります(歯が動く正常な反応なので心配ありません)。頬の粘膜・唇・舌などに、口内炎ができることがあります。歯周病等で歯茎が下がっている方は、歯を動かすことでさらに歯茎が下がる可能性があります。重なっていた歯がきれいに並んだことで歯茎と両隣の歯との間に三角形の隙間ができる可能性があります。

インビザラインの症例

Before

浜松市中央区・自動車学校前駅のインビザラインの症例
浜松市中央区・自動車学校前駅のインビザラインの症例

After

浜松市中央区・自動車学校前駅のインビザラインの症例
浜松市中央区・自動車学校前駅のインビザラインの症例

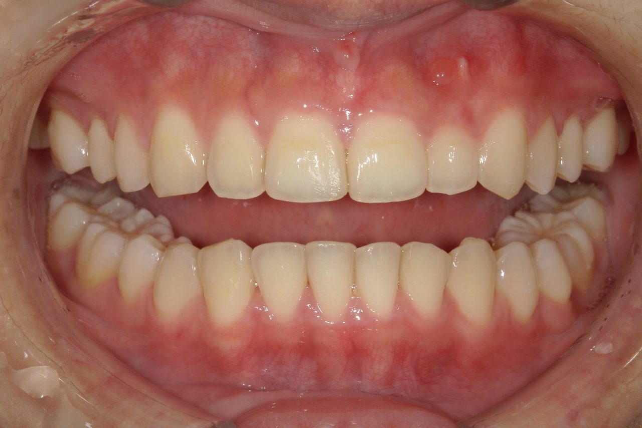
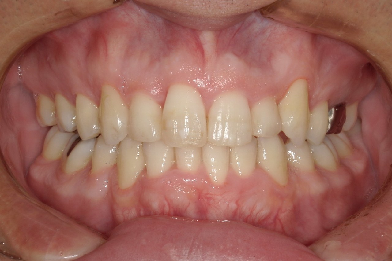
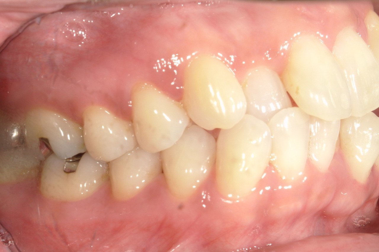
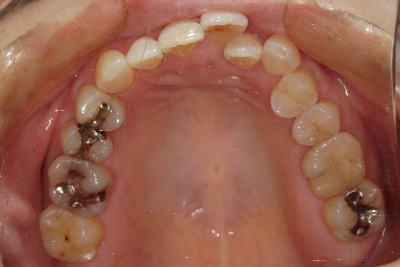
M.I. 40代女性

上下の前歯をキレイに並べたい、中心がズレている、という主訴でご来院。上下前歯の叢生を治し、正中を合わせました。

治療の期間:R3. 4/13〜R5. 8/30
治療の価格:88万円
治療のリスクや副作用:歯磨き等のセルフケアを怠ると虫歯や歯周病のリスクが高くなります。装着時間を守らないと計画通りに歯が動かない、治療期間が延びる場合があります。矯正治療が完了した後は後戻りを防ぐために保定装置を装着します。保定装置を正しく使用しないと再度矯正治療が必要になる可能性があります。歯とあごのバランスによってはご自身の歯を削る場合があります(削る量は個人差があります)。まれに歯の根が短くなる可能性があります。装置装着後、痛みを感じることがあります(歯が動く正常な反応なので心配ありません)。頬の粘膜・唇・舌などに、口内炎ができることがあります。歯周病等で歯茎が下がっている方は、歯を動かすことでさらに歯茎が下がる可能性があります。重なっていた歯がきれいに並んだことで歯茎と両隣の歯との間に三角形の隙間ができる可能性があります。

インビザラインの症例

Before

浜松市中央区・自動車学校前駅のインビザラインの症例
浜松市中央区・自動車学校前駅のインビザラインの症例

After

浜松市中央区・自動車学校前駅のインビザラインの症例
浜松市中央区・自動車学校前駅のインビザラインの症例

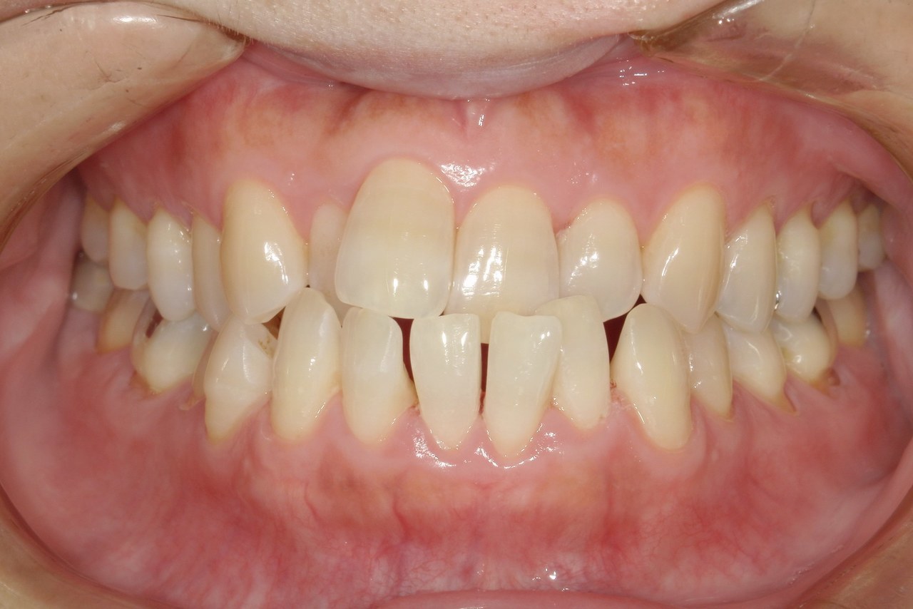
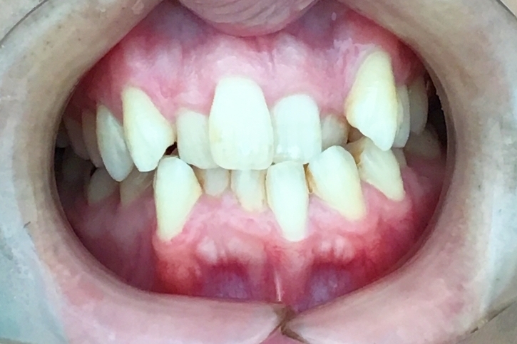
Y.S. 30代男性

全体的にガタガタしているのが気になるという主訴だったため、上下左右第一小臼歯を抜歯し、叢生を並べました。

治療の期間:R3. 9/1〜R5. 10/31
治療の価格:88万円
治療のリスクや副作用:歯磨き等のセルフケアを怠ると虫歯や歯周病のリスクが高くなります。装着時間を守らないと計画通りに歯が動かない、治療期間が延びる場合があります。矯正治療が完了した後は後戻りを防ぐために保定装置を装着します。保定装置を正しく使用しないと再度矯正治療が必要になる可能性があります。歯とあごのバランスによってはご自身の歯を削る場合があります(削る量は個人差があります)。まれに歯の根が短くなる可能性があります。装置装着後、痛みを感じることがあります(歯が動く正常な反応なので心配ありません)。頬の粘膜・唇・舌などに、口内炎ができることがあります。歯周病等で歯茎が下がっている方は、歯を動かすことでさらに歯茎が下がる可能性があります。重なっていた歯がきれいに並んだことで歯茎と両隣の歯との間に三角形の隙間ができる可能性があります。

インビザラインの症例

Before

浜松市中央区・自動車学校前駅のインビザラインの症例
浜松市中央区・自動車学校前駅のインビザラインの症例

After

浜松市中央区・自動車学校前駅のインビザラインの症例
浜松市中央区・自動車学校前駅のインビザラインの症例

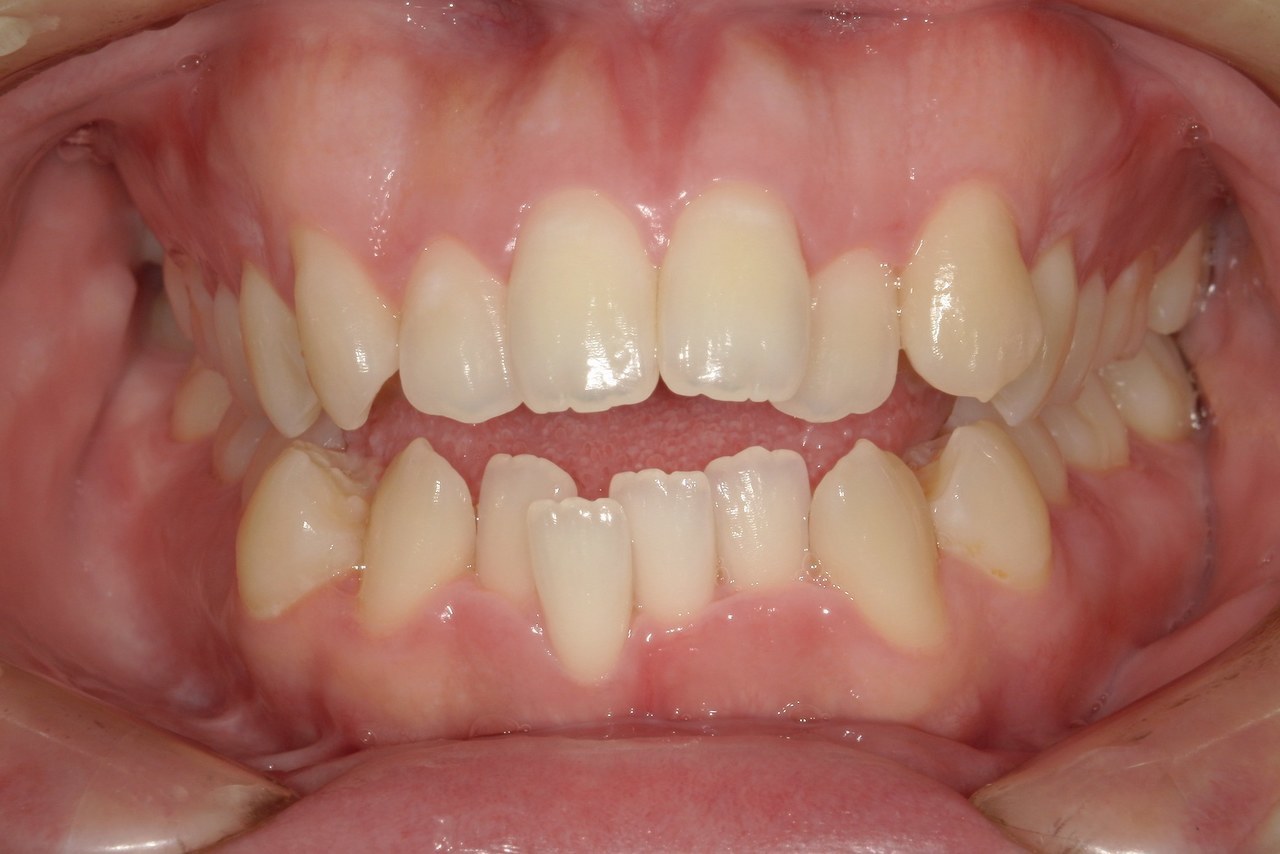
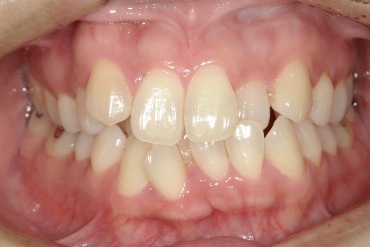
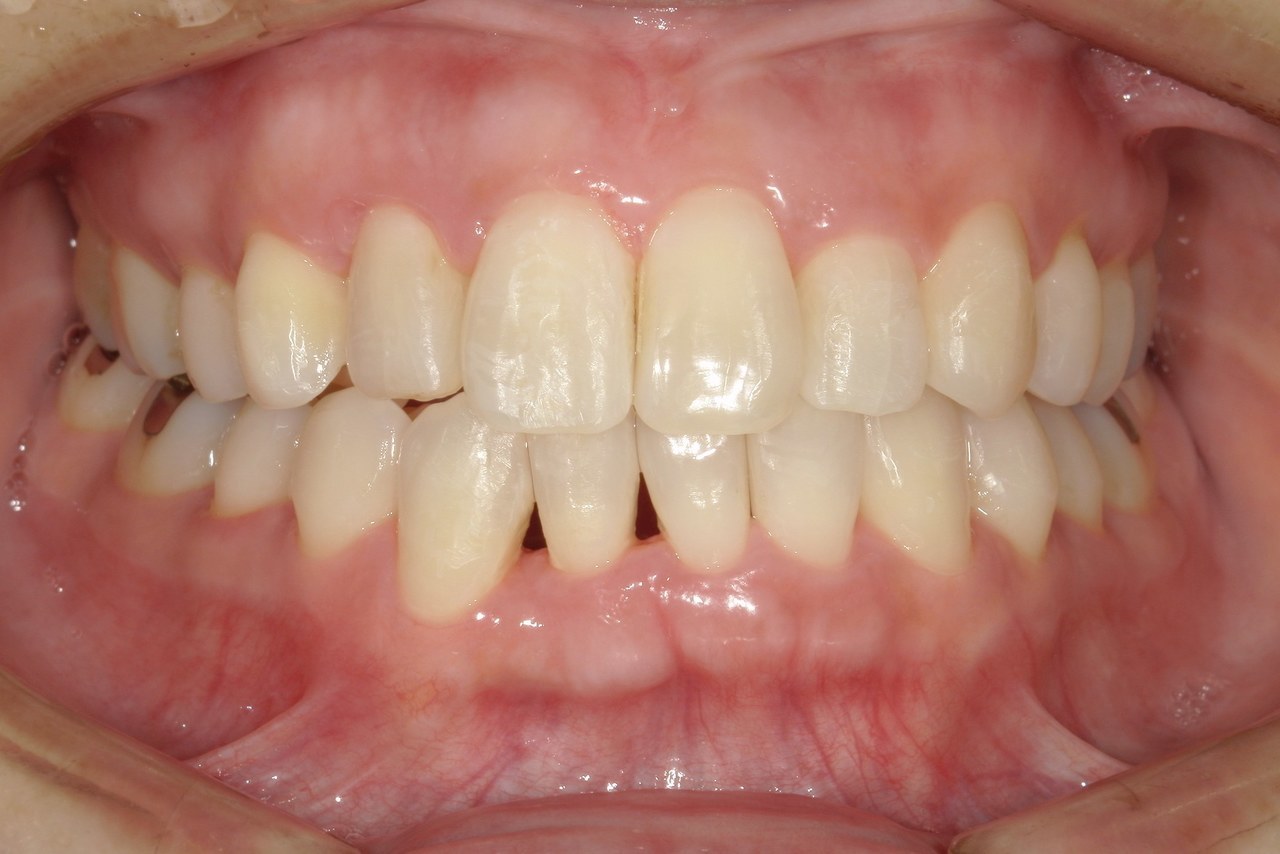
K.M 20代女性

上の前歯が前方に出ていて横顔が気になるとの主訴でご来院。上下犬歯から犬歯までの6本が噛み合うよう、全体的に歯を内側に移動させることで、前歯の噛み合わせを整え叢生と開咬を治療しました。

​治療の期間:R5. 7/5〜R7. 1/17
​治療の価格:66万円
治療のリスクや副作用:歯磨き等のセルフケアを怠ると虫歯や歯周病のリスクが高くなります。装着時間を守らないと計画通りに歯が動かない、治療期間が延びる場合があります。矯正治療が完了した後は後戻りを防ぐために保定装置を装着します。保定装置を正しく使用しないと再度矯正治療が必要になる可能性があります。歯とあごのバランスによってはご自身の歯を削る場合があります(削る量は個人差があります)。まれに歯の根が短くなる可能性があります。装置装着後、痛みを感じることがあります(歯が動く正常な反応なので心配ありません)。頬の粘膜・唇・舌などに、口内炎ができることがあります。歯周病等で歯茎が下がっている方は、歯を動かすことでさらに歯茎が下がる可能性があります。重なっていた歯がきれいに並んだことで歯茎と両隣の歯との間に三角形の隙間ができる可能性があります。

インビザラインの症例

Before

浜松市中央区・自動車学校前駅のインビザラインの症例
浜松市中央区・自動車学校前駅のインビザラインの症例

After

浜松市中央区・自動車学校前駅のインビザラインの症例
浜松市中央区・自動車学校前駅のインビザラインの症例

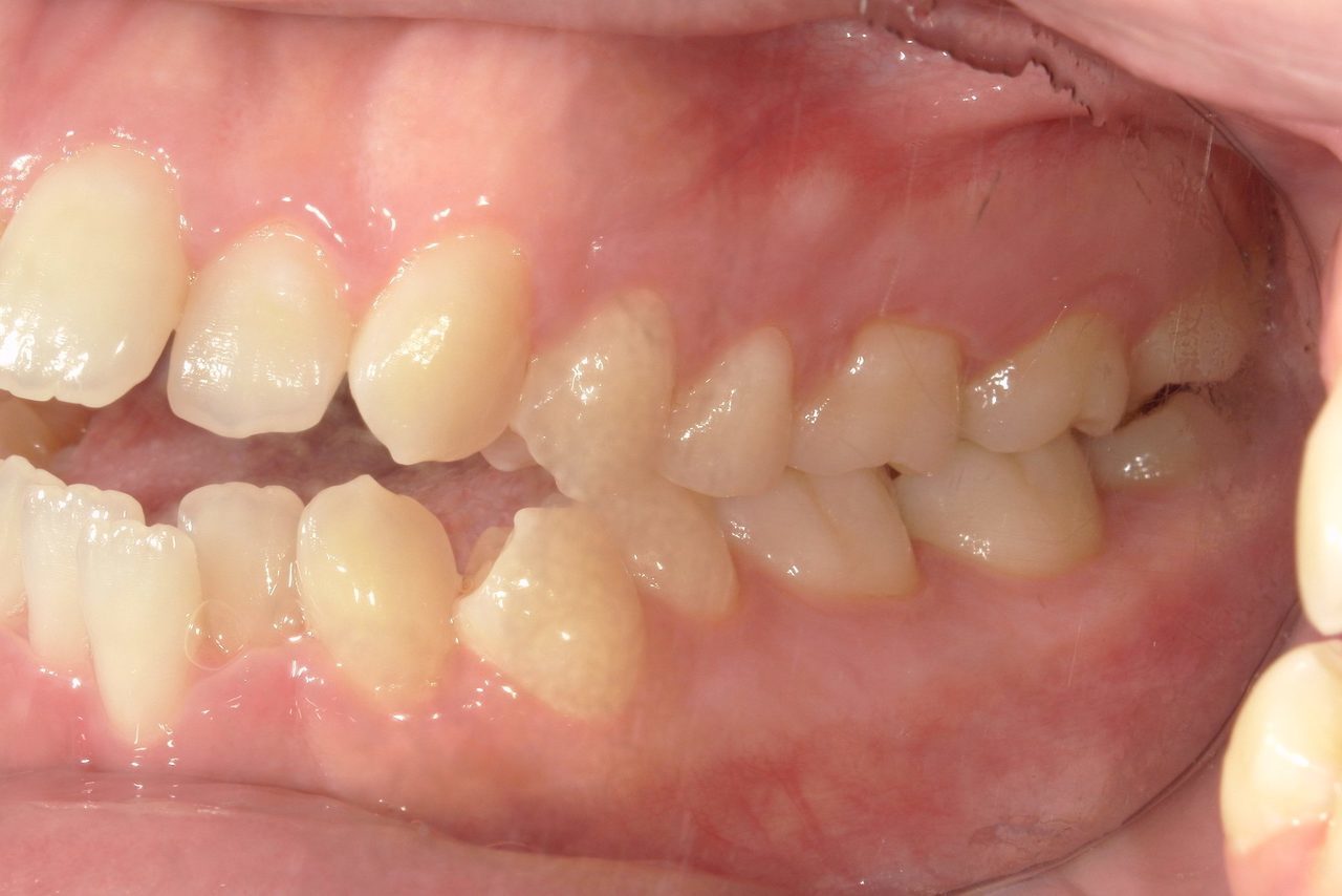
R.K. 40代女性

下の歯が上の歯よりも出ているのが気になる、との主訴で来院。下顎前歯を内側に入れることで、下顎前突と叢生を治しました。

治療の期間:R5. 4/18〜R6. 10/23
治療の価格:66万円
治療のリスクや副作用:歯磨き等のセルフケアを怠ると虫歯や歯周病のリスクが高くなります。装着時間を守らないと計画通りに歯が動かない、治療期間が延びる場合があります。矯正治療が完了した後は後戻りを防ぐために保定装置を装着します。保定装置を正しく使用しないと再度矯正治療が必要になる可能性があります。歯とあごのバランスによってはご自身の歯を削る場合があります(削る量は個人差があります)。まれに歯の根が短くなる可能性があります。装置装着後、痛みを感じることがあります(歯が動く正常な反応なので心配ありません)。頬の粘膜・唇・舌などに、口内炎ができることがあります。歯周病等で歯茎が下がっている方は、歯を動かすことでさらに歯茎が下がる可能性があります。重なっていた歯がきれいに並んだことで歯茎と両隣の歯との間に三角形の隙間ができる可能性があります。

浜松市中央区でマウスピース矯正「インビザライン」の治療をお探しなら、「ニワ歯科医院」へ。当院は自動車学校前駅から近く、アクセス便利な歯科医院です。長期にわたる矯正歯科治療も、無理なく通院いただけます。
 

検診・歯石取り・歯のクリーニング・フッ素塗布などもご予約いただけます。3ヶ月先のご予約もお気軽にどうぞ。

053-463-2202

令和6年1月より当院では、休憩時間の電話対応を【留守番電話対応】とさせていただきます。
恐れ入りますが、お問い合わせ・ご予約については、診療時間内にご連絡ください。
尚キャンセルのご連絡は、留守番電話にメッセージを入れいていただいても構いません。
 

診療時間

 
午前 × ×
午後 × × ×

午前:9:00~12:30
午後:14:00~18:30

休診日:木曜・日曜・祝日