浜松市中央区の歯医者

〒435-0056 静岡県浜松市中央区小池町2668-1
遠州鉄道自動車学校前駅より徒歩9分

診療時間
9:00~12:30 × ×
14:00~18:30 × × ×

休診日:木曜・日曜・祝日

当院のホワイトニングの症例

※自費診療になります。

浜松市中央区、自動車学校前駅近くの「ニワ歯科医院」がホワイトニングの症例をご紹介します。

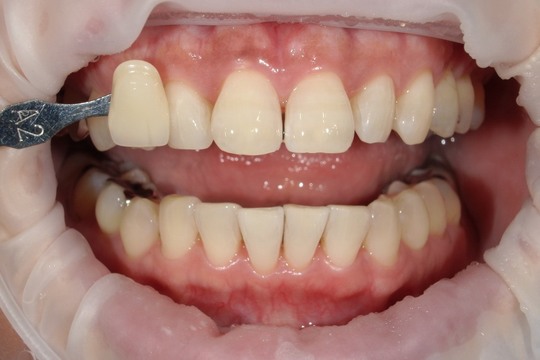
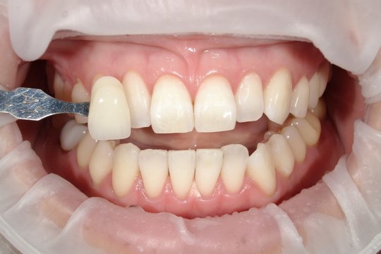
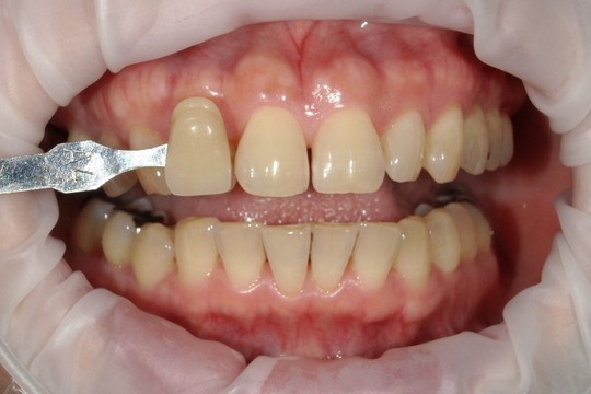
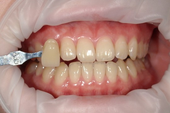
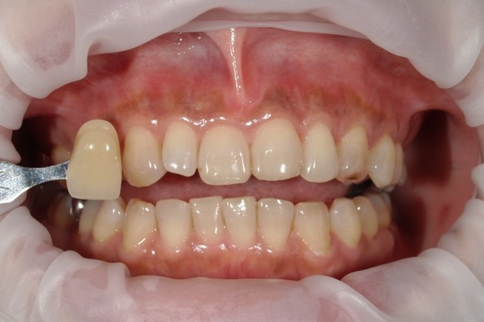
ホワイトニング治療の症例

Before

浜松市中央区・自動車学校前駅のホワイトニングの症例

After

浜松市中央区・自動車学校前駅のホワイトニングの症例

Y.T. 女性 50代

全体的に歯の色が気になる。

治療の期間・回数:1回目 R7. 8/27 2回目 R7. 9/5
治療の価格:オフィスホワイトニング 33,000円

治療のリスクや副作用:歯に白斑(白いまだら模様)が出る可能性があります。痛みや知覚過敏が起きる可能性があります(数日で改善することがほとんどです)。歯茎が一部白くなる可能性があります(数日で改善することがほとんどです)。

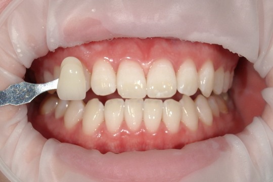
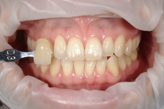
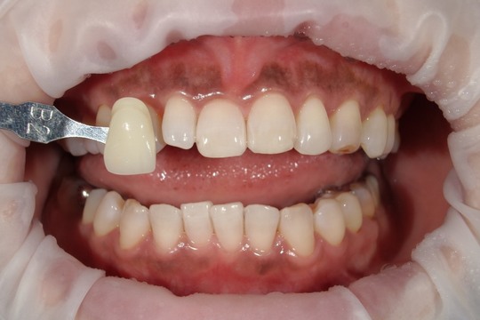
ホワイトニング治療の症例

Before

浜松市中央区・自動車学校前駅のホワイトニングの症例

After

浜松市中央区・自動車学校前駅のホワイトニングの症例

U.K. 女性 40代

歯が黄色いのが気になる。(A4)

治療の期間・回数:1回目 R7. 6/24 2回目 R7. 7/1
治療の価格:オフィスホワイトニング 33,000円

治療のリスクや副作用:歯に白斑(白いまだら模様)が出る可能性があります。痛みや知覚過敏が起きる可能性があります(数日で改善することがほとんどです)。歯茎が一部白くなる可能性があります(数日で改善することがほとんどです)。

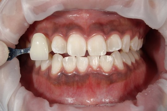
ホワイトニング治療の症例

Before

浜松市中央区・自動車学校前駅のホワイトニングの症例

After

浜松市中央区・自動車学校前駅のホワイトニングの症例

M.M. 女性 20代

歯を白くしたい。

治療の期間・回数:1回目 R7. 6/20 2回目 R7. 6/27
治療の価格:オフィスホワイトニング 33,000円

治療のリスクや副作用:歯に白斑(白いまだら模様)が出る可能性があります。痛みや知覚過敏が起きる可能性があります(数日で改善することがほとんどです)。歯茎が一部白くなる可能性があります(数日で改善することがほとんどです)。

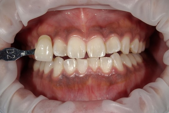
ホワイトニング治療の症例

Before

浜松市中央区・自動車学校前駅のホワイトニングの症例

After

浜松市中央区・自動車学校前駅のホワイトニングの症例

S.T. 男性 20代

もっと白くしたい。ホワイトニング経験数回あり。

治療の期間・回数:1回目 R7. 1/24 2回目 R7. 2/22
治療の価格:オフィスホワイトニング 33,000円

治療のリスクや副作用:歯に白斑(白いまだら模様)が出る可能性があります。痛みや知覚過敏が起きる可能性があります(数日で改善することがほとんどです)。歯茎が一部白くなる可能性があります(数日で改善することがほとんどです)。

ホワイトニング治療の症例

Before

浜松市中央区・自動車学校前駅のホワイトニングの症例

After

浜松市中央区・自動車学校前駅のホワイトニングの症例

T.E. 女性 40代

歯が少し黄色くて気になる。

治療の期間・回数:1回目 R6. 8/24 2回目 R6. 8/31
治療の価格:オフィスホワイトニング 33,000円

治療のリスクや副作用:歯に白斑(白いまだら模様)が出る可能性があります。痛みや知覚過敏が起きる可能性があります(数日で改善することがほとんどです)。歯茎が一部白くなる可能性があります(数日で改善することがほとんどです)。

※金額は税込み表記です。

浜松市中央区で歯を白くするホワイトニングをお探しなら、「ニワ歯科医院」がおすすめです。忙しくて歯医者に通う時間がない方にも、ライフスタイルに合った方法をご提案します。施術の種類や値段についても気軽にお問合せください。

浜松市中央区・自動車学校前駅のホワイトニングの症例

医療法人社団誠和会 ニワ歯科医院 院長 丹羽 裕美智

資格
  • 歯科医師
  • 浜松東高校 校医
  • 日本糖尿病協会登録医
  • 全国共通がん医科歯科連携医
パソコン|モバイル
ページトップに戻る